Papilloma invertito
I tumori della cavità nasale sono equamente distribuiti tra benigni e maligni, con il Papilloma Invertito che risulta il principale all'interno del gruppo dei benigni ed il Carcinoma Squamocellulare nei maligni. Più del 44% dei casi di tumore sono imputabili ad esposizione lavorativa a sostanze come nickel, cromo, olio isopropilico, idrocarburi volatili e fibre organiche riscontrate nella lavorazione del legno, delle scarpe e nell'industria tessile. In aggiunta, il papilloma virus può agire come co-fattore. Il trattamento è chirurgico.
Le caratteristiche principali di questo tumore sono: la monolateralità, la spiccata tendenza a recidivare, l’aggresività locale nei confronti delle strutture circostanti come la lamina cribrosa (la lamina ossea che separa il naso dal cervello) e la lamina papiracea (la lamina ossea che separa l’occhio dal naso) e la tendenza all’associazione con tumori maligni (carcinoma squamoso). L’eziologia non è ancora ben chiara ma sicuramente possono essere chiamati in causa diversi fattori come l’allergia, il fumo di tabacco, il papilloma virus. Sono colpiti da questa patologia soprattutto gli adulti tra i 50 ed i 70 anni con prevalenza dei maschi rispetto alle femmine. I principali sintomi sono: l’ostruzione respiratoria nasale monolaterale, la rinorrea e l’epistassi. All’esame endoscopico è possibile osservare una formazione polipoide di aspetto e consistenza più ‘carnosa’ (Fig.1) rispetto ai polipi normali, spesso nascosta dagli stessi polipi.

La TC evidenzia la presenza di una neoformazione monolaterale dei seni paranasali più o meno estesa (Fig.2).

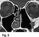
Tale metodica strumentale consente di valutare con cura l’erosione ossea circostante e l’eventuale estensione intracranica o intraorbitaria. La RMN permette di distinguere il tumore dalla concomitante presenza di secreto mucoso o mucopurulento e di effettuare la diagnosi differenziale con il polipo antro-coanale che è benigno. L’asportazione chirurgica completa rappresenta il trattamento ideale di tale patologia. Sia che si utilizzi una tecnica chirurgica più invasiva come la rinotomia laterale, sia che si utilizzi una tecnica chirurgica poco invasiva, come l’approccio endoscopico, è di fondamentale importanza eseguire una dissezione subperiostea e fresare l’osso sottostante: ciò consente di ridurre notevolmente le recidive. Presso il nostro Centro, l’approccio endonasale endoscopico viene impiegato nei tumori che interessano l’etmoide, lo sfenoide e la parete mediale del mascellare. Se il tumore si estende verso la parete laterale del mascellare tale approccio viene combinato con un approccio trans-mascellare mediante un’incisione sublabiale o si impiega direttamente il midface degloving (vedi il capitolo sull’angiofibroma del rinofaringe) utilizzando il microscopio per la rimozione del tumore (Fig.3).

La rinotomia laterale, oramai abbandonata presso il nostro Centro in quanto sostituita dal midface degloving, prevede l’esecuzione di un’incisione esterna alla quale, in qualche caso, può far seguito una cicatrice esteticamente inaccettabile. Nei rari casi di papilloma invertito ad estensione intracranica il midface degloving o l’approccio endoscopico vanno associati ad una craniotomia subfrontale. Comunque, dopo la chirurgia, è fondamentale un follow-up che comprenda l’esame endoscopico periodico della cavità chirurgica e gli esami radiologici (TC e RMN) data la possibilità di recidive anche a distanza di anni. In particolare, l’esame endoscopico periodico delle cavità nasali consente di individuare precocemente eventuali recidive e di eseguire un intervento di revisione in endoscopia poco invasivo e meno impegnativo sia per il chirurgo che per il paziente.


